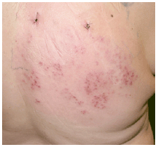
Herpes Zoster (Shingles)
Description: Painful, blistering, red rash that erupts in clusters along a dermatomal distribution for several days; crusting occurs over 24 wks
Etiology: Varicella zoster virus that lies dormant in sensory nerve roots for years; likelihood of reactivation increases with age; may be contagious to a person who has not had chicken pox
Rx: Oral antiviral agents

Source: From Barankin B & Freiman A (2006).