section name header

Image

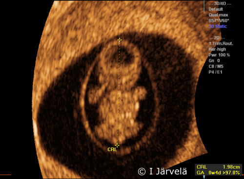
Pregnancy Week 8 (Ultrasound Scan)

Pregnancy week 8. In the 8th week of pregnancy, the CRL is 16-22 mm. Head and limb movements can be seen.

3D ultrasound. 3D ultrasound scan in the 8th week of pregnancy.

Pictures: Ilkka Järvelä; text: Dimitrios Scordas

Primary/Secondary Keywords