section name header

Image

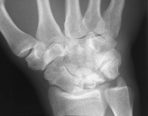
Lunatomalacia

Lunatomalacia. The lunate is denser and more deformed than the other bones. There is also osteoarthritis of the wrist.

Primary/Secondary Keywords