section name header

Image

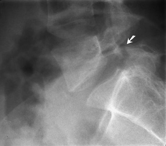
Spondylolysis and Spondylolisthesis of the L5 Vertebra

Spondylolysis and spondylolisthesis of the L5 vertebra. Spondylolysis (arrow) and mild spondylolisthesis of the L5 vertebra

Picture: Duodecim Medical Publications Ltd

Primary/Secondary Keywords