section name header

Image

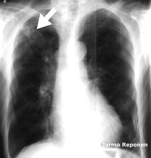
Tuberculosis in Chest x-Ray

Tuberculosis in chest x-ray. Tuberculosis in chest x-ray (arrow)

Picture: Jarmo Reponen

Primary/Secondary Keywords