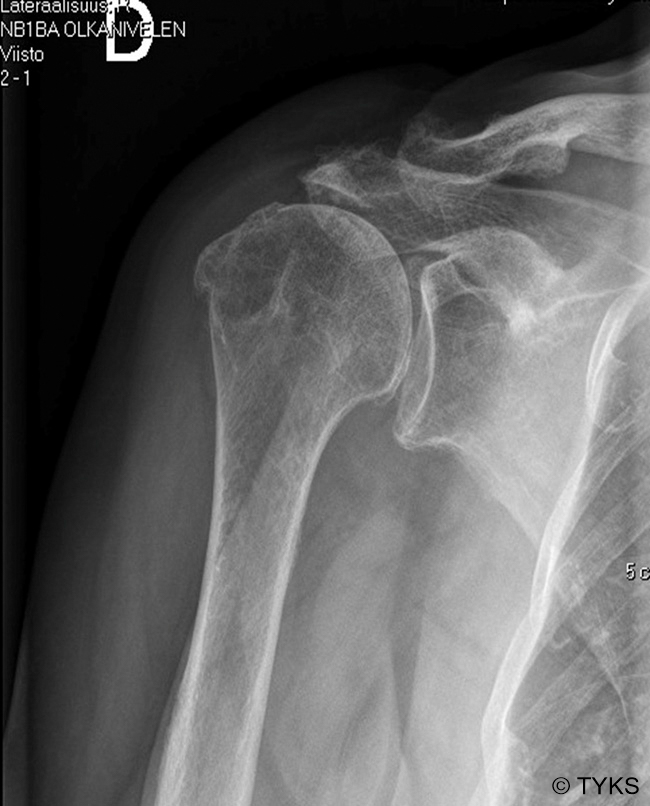
Rotator Cuff Arthropathy on Shoulder x-Ray

Rotator cuff arthropathy on shoulder x-ray. A high riding humerus and decreased subacromial space associated with rotator cuff arthropathy.
Picture: Turku University Hospital, text: Juha Kukkonen, Kaisa Lehtimäki and Anssi Ryösä