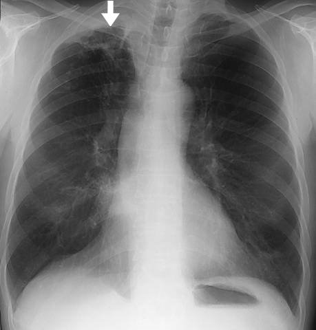
Tuberculous Reinfection in the Apex of the Right Lung

Tuberculous reinfection in the apex of the right lung. Tuberculous reinfection in the apex of the right lung. The image shows streaky opacities, tuberculous pneumonia and a thick-walled cavity (arrow).
Picture: Duodecim Medical Publications Ltd