
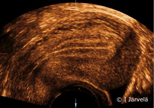
Endometrium in the proliferative phase (ultrasound scan).Oestrogen causes the endometrium to grow and produces the triple-line structure typical for the proliferative phase, as the mucosal layers in the anterior and posterior endometrial walls grow towards each other in the uterine cavity.
Picture: Ilkka Järvelä; text: Dimitrios Scordas
Primary/Secondary Keywords