
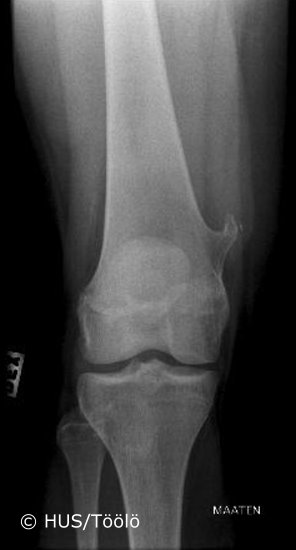
Exostosis in the femur.Osteochondroma (exostosis) is a benignbone tumour. It is found in the metaphyseal regions of the long bones, most commonly in the distal femur, proximal tibia and proximal humerus. An osteochondroma stops growing as the patient's years of growth are over.
Picture: Aarne Kivioja; text: Aarne Kivioja and Minna Laitinen
Primary/Secondary Keywords