section name header

Image

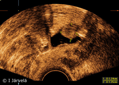
Endometrial Polyp (Sonohysterography)

Endometrial polyp (sonohysterography). Endometrial polyp in sonohysterography

Picture: Ilkka Järvelä; text: Dimitrios Scordas

Primary/Secondary Keywords