section name header

Image

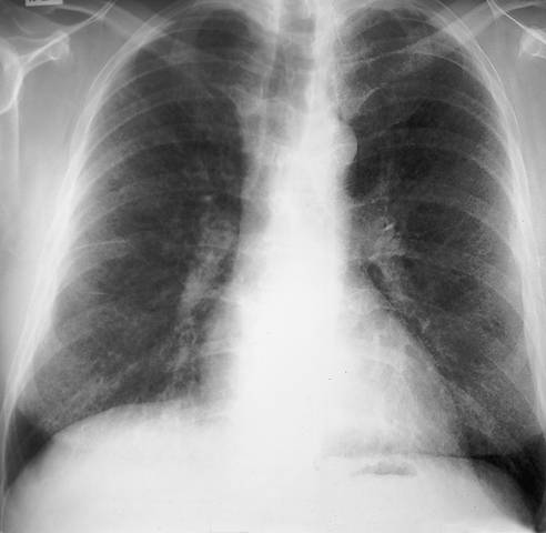
Sarcoidosis in Chest x-Ray

Sarcoidosis in chest x-ray. Chest x-ray shows small disseminated interstitial consolidations. The hilar lymph nodes are not (anymore) enlarged.

Picture: Duodecim Medical Publications Ltd

Primary/Secondary Keywords