section name header

Image

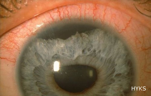
Blunt Eye Injury

Blunt eye injury. Due to a blunt injury to the eye, the iris has ruptured at its root (iridodialysis). At the initial phase there was bleeding in the anterior chamber (hyphaema).

Picture: Paula Summanen

Primary/Secondary Keywords