section name header

Image

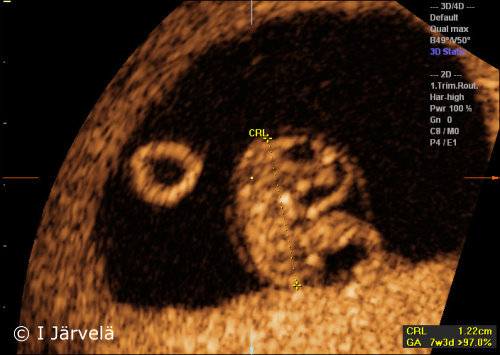
Pregnancy Week 7 (Ultrasound Scan)

Pregnancy week 7 (ultrasound scan). The amnion lining around the fetus is visible in the 7th week of pregnancy. The yolk sac remains outside the amniotic cavity.

Picture: Ilkka Järvelä; text: Dimitrios Scordas

Primary/Secondary Keywords