section name header

Image

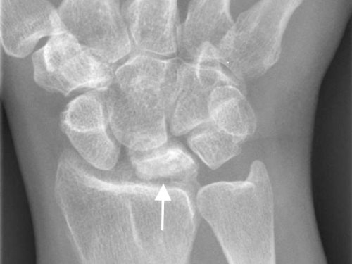
Lunatomalacia

Lunatomalacia. Typical finding in lunatomalacia (Kienböck's disease) on plain x-ray film. The lunate bone is sclerotic and slightly collapsed.

Picture: Jouni Havulinna

Primary/Secondary Keywords