
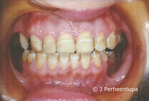
APECED: Dental enamel hypoplasia. Transverse dental enamel hypoplasia of permanent teeth in a patient with the APECED syndrome Apeced (Autoimmune Polyendocrinopathy - Candidiasis - Ectodermal Dystrophy).
Picture: Jaakko Perheentupa
Primary/Secondary Keywords