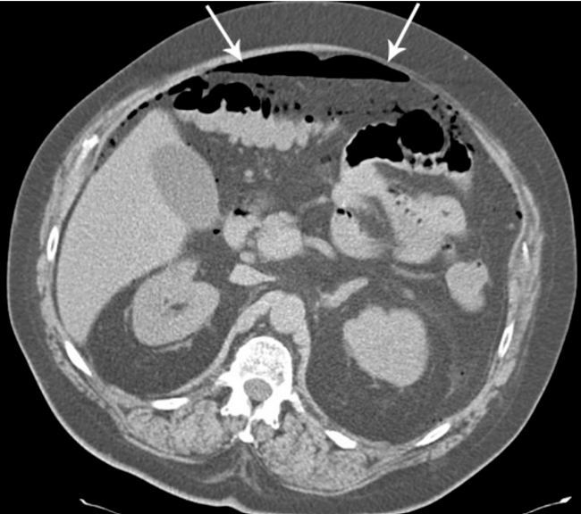
Perforation, Free Air in the Abdominal Cavity

Perforation, free air in the abdominal cavity.
Picture: Dean K, Sonninen P. [Imaging for acute abdomen]. In: Roberts P, Alhava E, H�ckerstedt K, Leppäniemi A (toim.). [Surgery]. Helsinki: Duodecim Publishing Company Ltd, 2010