section name header

General Information

Systemic autoimmune disease leading to mucocutaneous inflammation and eventual scarring.

Symptoms

Insidious onset of dryness, redness, blepharospasm, itching, foreign body sensation, tearing, burning, decreased vision, and photophobia. Bilateral involvement. The course is characterized by remissions and exacerbations. Usually occurs in patients older than 55 years. History of frequent epilation for trichiasis prior to diagnosis is common.

Signs

Critical

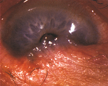
Inferior symblepharon (linear folds of conjunctiva connecting the palpebral conjunctiva of the lower eyelid to the inferior bulbar conjunctiva), foreshortening and tightness of the lower fornix, and scarring of palpebral conjunctiva on eyelid eversion (see Figure 5.10.1).

Figure 5.10.1: Mucous membrane pemphigoid with symblepharon.

Rapuano9781975243722-ch005_f019.jpg

Other

Secondary bacterial conjunctivitis, SPK, and corneal ulcer. Potential later findings include poor tear film, resulting in severe dry eye syndrome; entropion; trichiasis or distichiasis (if present, carefully examine fornices for symblepharon); corneal opacification with pannus, neovascularization, and keratinization; obliteration of the fornices, with eventual limitation of ocular motility; and ankyloblepharon.

Systemic

Mucous membrane (e.g., oropharynx, esophagus, anus, vagina, and urethra) vesicles; scarring or strictures; ruptured or formed bullae; denuded epithelium. Desquamative gingivitis is common. Cutaneous vesicles and bullae may occur, sometimes with erythematous plaques or scars near affected mucous membranes.

Based on clinical findings, the disease can be divided into four stages:

  1. Stage I—Chronic conjunctivitis with mild corneal involvement.

  2. Stage II—Cicatrization with conjunctival shrinkage and foreshortening of fornices.

  3. Stage III—Above with the additional presence of symblepharon. Subepithelial scarring leads to distortion of lashes.

  4. Stage IV—End stage, with ankyloblepharon and severe corneal involvement (persistent epithelial defects, stromal ulcers, scarring, neovascularization, and diffuse keratinization).

Differential Diagnosis

NOTE

Symblepharon is a nonspecific finding and can follow severe conjunctivitis, chemical injury, trauma, radiation exposure, etc. However, symblepharon associated with mucous membrane pemphigoid (MMP)/ocular cicatricial pemphigoid (OCP) is usually progressive.

Workup

  1. History: Long-term topical medications? Acute onset of severe systemic illness in the past? Recent systemic medications?

  2. Skin and mucous membrane examination.

  3. Slit-lamp examination: check for forniceal foreshortening or inferior symblepharon (visualized best by pulling down the lower eyelid during upgaze) and for palpebral conjunctival scarring on eyelid eversion. Check IOP.

  4. Gram stain and culture of the cornea or conjunctiva if a secondary bacterial infection is suspected. See Appendix 8, Corneal Culture Procedure.

  5. Consider a biopsy of the conjunctiva or other involved mucous membranes for direct immunofluorescence studies, or indirect immunofluorescence for the presence of antibodies.

  6. Obtain appropriate consults, as below.

Treatment

A multidisciplinary approach is often needed, including dermatology, oculoplastics, cornea, otolaryngology, gastroenterology, and pulmonology. Early diagnosis of the ocular involvement is critical for optimal management.

  1. Preservative-free artificial tears 4 to 10 times per day. Can add an artificial tear ointment b.i.d. to q.i.d. and q.h.s. Autologous serum drops 20% to 50% four times a day may also be added.

  2. Treat blepharitis vigorously with eyelid hygiene, warm compresses, and antibiotic ointment (e.g., erythromycin t.i.d.). Oral doxycycline can be used if blepharitis is present (for its anti-inflammatory properties). See 5.8, Blepharitis/Meibomitis.

  3. Goggles or glasses with sides to provide a moist environment for the eyes.

  4. Fitting of scleral lenses to maintain ocular surface integrity and protect from trichiasis.

  5. Punctal occlusion if puncta are not already closed by scarring.

  6. Topical steroids may rarely help in suppressing acute exacerbations, but be cautious of corneal melting.

  7. Systemic steroids (e.g., prednisone 60 mg p.o. daily) may also help in suppressing acute exacerbations but are most effective when used with other immune modulators.

  8. Immunosuppressive agents (e.g., mycophenolate mofetil, methotrexate, cyclophosphamide, rituximab, and intravenous immunoglobulin) are typically used for progressive disease.

  9. Dapsone is occasionally used for progressive disease. The starting dose is 25 mg p.o. for 3 to 7 days; increase by 25 mg every 4 to 7 days until the desired result is achieved (usually 100 to 150 mg p.o. daily). Dapsone is maintained for several months and tapered slowly.

  10. Consider surgical correction of entropion and cryotherapy or electrolysis for trichiasis. Surgery carries the risk of further scarring and is best performed when inflammation is absent.

  11. Mucous membrane grafts (e.g., buccal or amniotic membrane graft) can be used to reconstruct the fornices if needed.

  12. Consider a keratoprosthesis in an end-stage eye with good macular and optic nerve function if the inflammation and IOP are controlled. The surgical prognosis for the long-term survival of the keratoprosthesis is guarded.

NOTE

Dapsone can cause a dose-related hemolysis. A complete blood count and glucose-6-phosphate dehydrogenase (G-6-PD) level must be checked before administration. Dapsone should be avoided in patients with G-6-PD deficiency. A complete blood count with reticulocyte count is obtained weekly as the dose is increased every 3 to 4 weeks until blood counts are stable and then every few months.

Follow-Up

Every 1 to 2 weeks during acute exacerbations and every 1 to 6 months during remissions.