
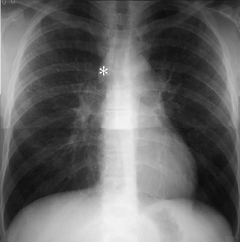
Sarcoidosis with enlarged lymph nodes in chest x-ray (PA view). Peripheral hilar lymph nodes are bilaterally enlarged. In addition, the azygos lymph node (*) is large. For lateral view, see Sarcoidosis with Enlarged Lymph Nodes in Chest x-Ray (Lateral View).
Picture: Duodecim Medical Publications Ltd
Primary/Secondary Keywords