
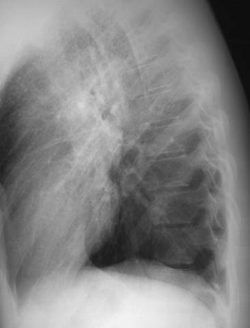
Sarcoidosis with enlarged lymph nodes in chest x-ray (lateral view). Sarcoidosis in chest x-ray. Peripheral hilar lymph nodes are enlarged. For PA view, see Sarcoidosis with Enlarged Lymph Nodes in Chest x-Ray (Pa View).
Picture: Duodecim Medical Publications Ltd
Primary/Secondary Keywords