
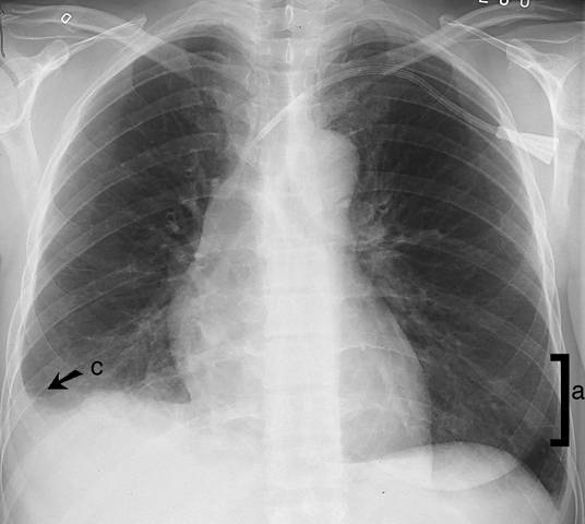
Interstitial oedema in the lungs (PA view). Interstitial oedema in the lungs. Septal lines (a) are 1-2 cm long lines perpendicular to the pleura, best shown in the inferolateral parts of the lungs in the PA view. The condition is associated with pleural fluid (c). For lateral view: see Interstitial Oedema in the Lungs (Lateral View).
Picture: Duodecim Medical Publications Ltd
Primary/Secondary Keywords