
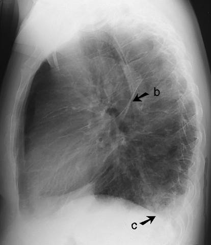
Interstitial oedema in the lungs (lateral view). Interstitial oedema in the lungs (lateral view). Oedema is also accumulated along the lobe margins (b) and in the scars. The condition is often associated with pleural fluid (c). For PA view: see Interstitial Oedema in the Lungs (Pa View).
Picture: Duodecim Medical Publications Ltd
Primary/Secondary Keywords