Unilateral, painless, acute vision loss (counting fingers to light perception in 94% of eyes) occurring over seconds; may have a history of transient visual loss (amaurosis fugax).
(See Figure 11.6.1.)
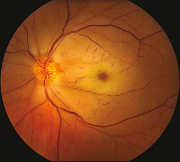
Superficial opacification or whitening of the retina in the posterior pole and a cherry-red spot in the center of the macula (may be subtle).
Marked RAPD. Narrowed retinal arterioles; boxcarring or segmentation of the blood column in the arterioles. Occasionally, retinal arteriolar emboli or cilioretinal artery sparing of the foveola is evident. If visual acuity is light perception or worse, strongly suspect ophthalmic artery occlusion.
Acute ophthalmic artery occlusion: Usually no cherry-red spot; the entire retina appears whitened. Increased concern for GCA.
Commotio retinae: Retinal whitening from intracellular edema and fragmentation of the photoreceptor outer segments and RPE. Follows blunt trauma, resolves spontaneously. May result in permanent retinal damage. May mimic a cherry-red spot when the posterior pole is involved (Berlin edema). See 3.13, Commotio Retinae.
Other causes of a cherry-red spot: TaySachs, NiemannPick disease type A, others. These conditions present early in life with other, often severe, systemic manifestations. Ophthalmic findings are usually bilateral.
Embolus: Three main types include cholesterol, platelet-fibrin, and calcium emboli. All are seen within a vessel. Cholesterol emboli (Hollenhorst plaque) are typically refractile, yellow, and seen at retinal vessel bifurcations. They arise from ulcerated atheromas, usually from the carotid arteries. Platelet-fibrin emboli are dull white and typically arise from atheromas in the carotid arteries. Calcium emboli are white and frequently cause distal retinal infarction and often arise from cardiac valves.
GCA: May produce central retinal artery occlusion (arteritic CRAO), branch retinal artery occlusion (BRAO), ophthalmic artery occlusion, or an ischemic optic neuropathy. See 10.17, Arteritic Ischemic Optic Neuropathy (Giant Cell Arteritis).
Other collagen vascular diseases: Systemic lupus erythematosus, polyarteritis nodosa, others.
Hypercoagulable state: Polycythemia, multiple myeloma, cryoglobulinemia, Waldenström macroglobulinemia, antiphospholipid syndrome, factor V Leiden, activated protein C resistance, hyperhomocysteinemia, protein C and S deficiency, antithrombin III mutation, prothrombin mutation, etc.
Rare causes: Migraine, Behçet disease, syphilis, sickle cell disease.
Should be treated as an acute stroke. The American Academy of Ophthalmology (AAO) 2019 guidelines suggest that all these patients should be sent immediately to an emergency department, preferably one with a stroke center, for evaluation and workup.
Immediate ESR, CRP, and platelets to rule out GCA if the patient is 55 years of age or older and no embolus seen on examination. Query GCA review of systems. If the patients history and/or laboratories are consistent with GCA, start high-dose systemic steroids. See 10.17, Arteritic Ischemic Optic Neuropathy (Giant Cell Arteritis).
Other blood tests: Fasting blood sugar and HbA1c, complete blood count (CBC) with differential, prothrombin time/activated partial thromboplastin time (PT/PTT). In patients younger than 50 years or with appropriate risk factors or positive review of systems, consider lipid profile, antinuclear antibody (ANA), rheumatoid factor, syphilis testing (RPR or VDRL and FTA-ABS or treponemal-specific assay), serum protein electrophoresis, hemoglobin electrophoresis, and further evaluation for hypercoagulable state (see above).
Cardiac evaluation with electrocardiography (ECG), echocardiography, and possibly Holter monitoring or bubble study to evaluate for a patent foramen ovale.
OCT can be very helpful in making the diagnosis. Can also consider IVFA, but in obvious cases this should not delay sending the patient to a stroke center. Less commonly ERG is used.
CRAO is treated as an acute stroke and immediate referral to an emergency department with a stroke center is warranted. If GCA is suspected, see 10.17, Arteritic Ischemic Optic Neuropathy (Giant Cell Arteritis) for treatment recommendations.
For specific management of ocular signs and symptoms, there are anecdotal reports of improvement after the following treatments, if instituted within 90 to 120 minutes of the occlusive event. None of these treatments have been proven effective in randomized, controlled clinical trials and should not be considered standard of care.
Immediate ocular massage with ophthalmic contact lens (e.g., gonio lens, fundus contact lens) or digital massage.
Anterior chamber paracentesis: See Appendix 13, Anterior Chamber Paracentesis.
IOP reduction with acetazolamide, 500 mg i.v. or two 250-mg tablets p.o. or a topical beta-blocker (e.g., timolol or levobunolol, 0.5% daily or b.i.d.).
Follow as directed by managing internist and/or neurologist.
Repeat eye examination in 1 to 4 weeks, checking for neovascularization of the iris/disc/angle/retina (NVI/NVD/NVA/NVE), which develops in up to 20% of patients at a mean of 4 weeks after onset. If neovascularization develops, perform panretinal photocoagulation (PRP) with or without an anti-vascular endothelial growth factor (anti-VEGF) agent.