(See Figures 11.19.1 and 11.19.2.)
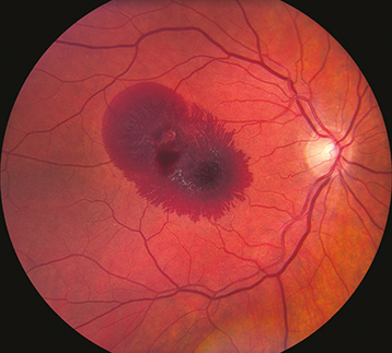
Acute hemorrhages in multiple layers of the retina (subretinal, intraretinal, preretinal) possibly with VH; often with a white or yellow spot in the middle of the RAM. Chronic leakage may cause a ring of hard exudates and retinal edema around the aneurysm resulting in decreased vision if the macula is involved.
ME, arteriolar emboli, capillary telangiectasia, arterial or venous occlusions distal to macroaneurysm.
Coats disease: Unilateral retinal vascular telangiectasias. Extensive yellow intraretinal and subretinal exudates. Hemorrhages not typical. See 8.1, Leukocoria.
Idiopathic retinal vasculitis, aneurysms, and neuroretinitis: A syndrome characterized by retinal vasculitis, multiple arterial macroaneurysms, neuroretinitis, and peripheral capillary nonperfusion.
Diabetic retinopathy: Hemorrhages are not subretinal. See 11.12, Diabetic Retinopathy.
Valsalva retinopathy: No associated hard exudates. See 11.21, Valsalva Retinopathy.
Retinal telangiectasias: Juxtafoveal or parafoveal retinal telangiectasias can cause hard exudates in a circinate pattern usually temporal to macula. Association with diabetes.
Others: Retinal capillary hemangioma (hemangioblastoma), retinal cavernous hemangioma, choroidal melanoma, hemorrhagic RPE detachment seen in AMD, IPCV, etc.
Acquired vascular dilation of retinal artery or arteriole usually at the site of arteriolar bifurcation or arteriovenous crossing. Usually related to systemic HTN and general atherosclerotic disease.
Complete ocular examination with dilated fundus examination with a handheld lens and indirect ophthalmoscopy. Look for concurrent retinal venous obstruction (present in one-third of cases) and signs of hypertensive retinopathy (visible in fellow eye as well).
Consider checking lipid panel as well as fasting or random blood sugar and HbA1c.
IVFA may demonstrate early hyperfluorescence if there is no blockage from hemorrhage. Late frames may show leakage or staining of vessel wall.
Consider laser treatment if edema and/or exudate threatens central vision. Caution must be taken when treating arterioles that supply the central macula since distal thrombosis and obstruction with resultant ischemia can occur. Laser can also cause aneurysmal rupture resulting in retinal and VH. Anti-VEGF agents may be beneficial in patients with macroaneurysm-associated ME. Dense or nonclearing VH, subinternal limiting membrane (ILM) hemorrhage, or thick submacular hemorrhage may benefit from vitrectomy (See Figure 11.19.3).