Diabetic Retinopathy Disease Severity Scale
Mild nonproliferative diabetic retinopathy (NPDR): Microaneurysms only.
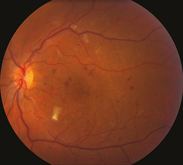
Moderate NPDR: More than mild NPDR, but less than severe NPDR (See Figure 11.12.1). May have CWSs and venous beading.
Severe NPDR: Any of the following in the absence of PDR: Diffuse (traditionally >20) intraretinal hemorrhages in all 4 quadrants, ≥2 quadrants of venous beading, or ≥1 quadrant of prominent intraretinal microvascular abnormalities (See Figure 11.12.2).
PDR: Neovascularization of any of the following: iris, angle, optic disc, or elsewhere in retina; or vitreous/preretinal hemorrhage (See Figures 11.12.3 and 11.12.4).
Diabetic macular edema (DME): May be present in any of the stages. DME affecting or threatening the fovea is an indication for treatment (See Figure 11.12.5).
Differential Diagnosis for Nonproliferative Diabetic Retinopathy
CRVO: Optic disc swelling, veins are more dilated and tortuous, hard exudates and microaneurysms usually not found, hemorrhages are nearly always in the NFL (splinter hemorrhages). CRVO is generally unilateral and of more sudden onset. See 11.8, Central Retinal Vein Occlusion.
BRVO: Hemorrhages are distributed along a vein and generally respect the horizontal raphe. See 11.9, Branch Retinal Vein Occlusion.
OIS: Hemorrhages mostly in the midperiphery and larger; exudates are absent. Usually accompanied by pain; mild anterior chamber reaction; corneal edema; episcleral vascular congestion; a mid-dilated, poorly reactive pupil; iris neovascularization. See 11.11, Ocular Ischemic Syndrome/Carotid Occlusive Disease.
Hypertensive retinopathy: Hemorrhages fewer and typically flame shaped, microaneurysms rare, and arteriolar narrowing present often with arteriovenous crossing changes (AV nicking). See 11.10, Hypertensive Retinopathy.
Radiation retinopathy: Usually develops within a few years of radiation. Microaneurysms are rarely present. See 11.5, CottonWool Spot.
Differential Diagnosis for Proliferative Diabetic Retinopathy
Neovascular complications of CRAO, CRVO, or BRVO: See specific sections.
Sickle cell retinopathy: Peripheral retinal neovascularization with sea fan configuration. See 11.20, Sickle Cell Retinopathy (Including Sickle Cell Disease, Anemia, and Trait).
Embolization from intravenous drug abuse (talc retinopathy): Peripheral retinal neovascularization in patient with history of intravenous drug abuse. Typically see talc particles in retinal vessels. See 11.33, Crystalline Retinopathy.
Sarcoidosis: May have uveitis, exudates around veins (candle-wax drippings), NVE, or systemic findings. See 12.5, Retinal Vasculitis.
Other inflammatory syndromes (e.g., systemic lupus erythematosus).
OIS: See 11.11, Ocular Ischemic Syndrome/Carotid Occlusive Disease.
Slit-lamp examination with careful attention for NVI and NVA, preferably before pharmacologic dilation.
Dilated fundus examination by using a handheld lens with a slit lamp to rule out neovascularization and ME. Use indirect ophthalmoscopy to examine the retinal periphery.
Consider IVFA to determine areas of perfusion abnormalities, foveal ischemia, microaneurysms, and subclinical neovascularization, especially if considering focal macular laser therapy.
Consider OCT to evaluate for presence and extent of DME. OCT angiography (OCTA) can be useful to check for presence of significant central macular ischemia.
Systemic health status should be optimized: strict control of diabetes with lifestyle modifications or pharmacologic agents; goal HbA1c <7%.
Anti-VEGF agents (FDA-approved ranibizumab 0.5 mg, brolucizumab 6 mg, faricimab 6 mg, aflibercept 2 mg, and high-dose aflibercept 8 mg, as well as off-label bevacizumab) are first-line therapy for center-involving DME.
Those patients who have a suboptimal response to these anti-VEGF agents or require ongoing, frequent anti-VEGF therapy can consider intravitreal corticosteroid therapy with FDA-approved dexamethasone or long-acting fluocinolone acetonide injectable implants. Off-label intravitreal corticosteroid (e.g., triamcinolone 40 mg/mL, injecting 1 to 4 mg) can also be considered. Complications include cataract formation and elevated IOP.
Focal macular laser treatment can be considered in patients with extrafoveal microaneurysms causing significant edema. Macular laser can also be considered in patients for whom there is a suboptimal response to pharmacotherapy. Most practitioners avoid using anti-VEGF agents in pregnant patients, though no study has definitively shown adverse fetal side effects.
Proliferative Diabetic Retinopathy
PRP is indicated for any one of the following high-risk characteristics (See Figure 11.12.6):
Anti-VEGF therapy can be utilized for PDR as an alternative to PRP and is the preferred initial therapy in the presence of DME or if the view to the peripheral retina is limited by VH. Anti-VEGF therapy without PRP should be utilized judiciously, as patients nonadherence to recommended treatment intervals have worse anatomic and visual outcomes.
Some physicians treat NVE or any degree of NVD without preretinal hemorrhage or VH, especially in patients that may not have consistent follow-up. |
Vitrectomy may be indicated for any one of the following conditions:
Diabetes without retinopathy. Annual dilated fundus examination.
Severe NPDR. Dilated fundus examination every 3 to 4 months.
PDR (not meeting high-risk criteria). Dilated fundus examination every 2 to 3 months.
Diabetes and pregnancy. Changes that occur during pregnancy have a high likelihood of postpartum regression. See Table 11.12.1 for follow-up recommendations.
TABLE 11.12.1: Recommendations Based on the Baseline Diabetic Retinopathy in Pregnancy
| Gestational Diabetes | None or Minimal Nonproliferative Diabetic Retinopathy (NPDR) | Mild-to-Moderate NPDR | High-Risk NPDR | Proliferative Diabetic Retinopathy (PDR) | |
|---|---|---|---|---|---|
| Gestational course | No risk of retinopathy | No progression in vast majority. Of those who progress, only a few have visual impairment. | Progression in up to 50%. Postpartum regression in many. | Progression in up to 50%. Postpartum regression in some. | Tends to progress rapidly. |
| Eye examinations | None | First and third trimester | Every trimester | Monthly | Monthly |
| Treatment | None | None | None, unless high-risk proliferative retinopathy develops. | None, unless high-risk proliferative retinopathy develops. | Treat PDR with panretinal photocoagulation. Observe diabetic macular edema (high rate of spontaneous postpartum regression). |