Variable onset of central visual loss, central or paracentral scotoma, metamorphopsia, photopsias in the central visual field.
(See Figures 11.17.1 and 11.17.2.)
Drusen and SRF, ME or RPE detachment associated with CNV.
Subretinal or intraretinal blood. Retinal exudates, subretinal fibrosis (disciform scar). Retinal angiomatous proliferation (RAP) is an intraretinal variant of neovascular AMD and is characterized by focal telangiectatic retinal vessels with an adjacent superficial retinal hemorrhage and associated intraretinal edema and RPE detachment. Some neovascular AMD patients may present with VH.
Idiopathic polypoidal choroidal vasculopathy (IPCV): Multiple serosanguineous macular and RPE detachments. ICGA highlights characteristic choroidal polyp-like aneurysmal dilations most often located in the peripapillary region. This is considered a variant of neovascular AMD and is more common in those of Asian and African descent. See 11.18, Idiopathic Polypoidal Choroidal Vasculopathy.
Risk Factors for Loss of Vision
Advanced age, hyperopia, light-colored iris, family history, soft (large) drusen, focal subretinal pigment clumping, RPE detachments, systemic HTN, and smoking. Note that patients with wet AMD in one eye have a 10% to 12% risk per year of developing CNV in the fellow eye. The risk increases for eyes with multiple or confluent soft drusen with RPE clumping.
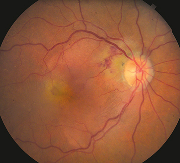
Ocular histoplasmosis syndrome: Small whiteyellow chorioretinal scars and peripapillary atrophy. May also present with CNV. See 11.24, Ocular Histoplasmosis.
Angioid streaks: Bilateral subretinal red-brown or gray irregular bands often radiating from the optic disc. See 11.23, Angioid Streaks.
High myopia: Significant myopic refractive error, lacquer cracks, tilted disc. See 11.22, Pathologic/Degenerative Myopia.
Other CNV-predisposing conditions include drusen of the optic nerve, choroidal rupture, choroidal tumors, photocoagulation scars, inflammatory focal chorioretinal spots, and idiopathic causes.
Types of Neovascular AMD Lesions
Occult CNV (Type 1): Ill-defined, stippled, flat, or elevated subtle late leakage on IVFA and located in the sub-RPE location by OCT.
Classic CNV (Type 2): Early-phase IVFA demonstrates a well-delineated area of lacy hyperfluorescence with prominent leakage in later phases and located in the subneurosensory retinal location by OCT.
RAP (Type 3): Focal intraretinal hyperfluorescence on IVFA and ICGA. High-speed ICGA is particularly sensitive and may show characteristic hair pin loop with retinal feeder and draining vessels. OCTA shows this focal form of neovascularization to be intraretinal.
Slit-lamp biomicroscopy with a handheld lens to detect CNV and associated exudation.
Perform IVFA or OCTA if CNV is suspected. IVFA is useful to confirm neovascular AMD size, type, and location. OCTA is useful as a noninvasive alternative to IVFA or when IVFA is inconclusive such as in pattern dystrophy or central CSCR. OCTA is also useful if there is an allergy to fluorescein dye or in pregnancy when it is best to avoid dye use.
OCT is helpful in determining retinal thickness, presence of CNV, CNV thickness, location, and extent of ME, SRF, fibrosis, and RPE detachment. OCT is the primary modality for following response to treatment. OCT will also help to detect and follow any concomitant GA which may or may not also affect vision.
ICGA may help delineate the borders of certain obscured occult CNV, particularly with subretinal blood or exudation. It also shows RAP and IPCV lesions better than IVFA.
Ranibizumab 0.5 mg: Anti-VEGF antibody fragment injected intravitreally that is FDA-approved for all CNV subtypes. In the original phase 3 efficacy trials (MARINA and ANCHOR), ranibizumab was given monthly to patients, with close to 40% of patients in both studies gaining three or more lines of visual acuity at 1 year. While the best visual results may occur with monthly dosing, as needed (PRN) or treat-and-extend (TAE) individualized dosing regimens may yield similar visual results with less frequent injections.
Aflibercept 2 mg and 8 mg: Anti-VEGF fusion protein that binds all isoforms of VEGF-A and placental growth factor. FDA-approved as intravitreal injection for the treatment of neovascular AMD. Phase 3 VIEW studies showed similar efficacy at 1 year to monthly intravitreal ranibizumab with aflibercept dosed q8 weeks after a 12-week monthly induction phase. Aflibercept 8 mg dosed 8 to 16 weeks showed similar efficacy to 2 mg dosed in a fixed q8 week fashion in pivotal trials.
Bevacizumab 1.25 mg: Full-length anti-VEGF antibody. Originally FDA-approved for systemic administration to treat colon cancer. Off-label use as intravitreal injection at a dose of 1.25 mg is effective in treating neovascular AMD. It is commonly used in clinical practice. The Comparison of Age-Related Macular Degeneration Treatments Trial (CATT) study demonstrated the noninferiority of bevacizumab as compared to ranibizumab at 1 year with fixed monthly dosing.
Brolucizumab 6 mg: Single-chain humanized anti-VEGF antibody fragment that binds all isoforms of VEGF-A. FDA-approved as intravitreal injection for the treatment of neovascular AMD. Phase 3 studies when dosed at q8 or q12 week intervals based on disease activity demonstrated the noninferiority of brolucizumab as compared to aflibercept dosed at q8 week intervals at 1 year after a 12-week monthly induction phase (HAWK and HARRIER). Brolucizumab has higher rates of intraocular inflammation and retinal vasculitis than the other anti-VEGF agents which limits its use in practice.
Faricimab 6 mg: Bispecific, anti-VEGFA and anti-Ang2 antigen binding domains with humanized IgG Fc. Phase 3 studies (TENAYA and LUCERNE) comparing faricimab (dosed at q8, q12, and q16 week intervals) to aflibercept (2 mg) q8 weeks demonstrated noninferiority in visual benefits at q16 week intervals.
PDT: FDA-approved intravenous infusion of photosensitizing dye (verteporfin) followed by nondestructive (cold) laser application to activate the dye within the CNV. PDT can be performed as often as every 3 months for 1 to 2 years. Small, classic subfoveal CNV responds best, but small occult or minimally classic subfoveal CNV may also respond. PDT decreases vision loss but does not improve vision as monotherapy. EVEREST and EVEREST 2 studies found utility for eyes with PCV. Selected use along with anti-VEGF therapy.
Thermal laser photocoagulation: Results are best for extrafoveal CNV (≥200 mm from fovea) or peripapillary CNV. Laser photocoagulation treatment is complicated by high CNV recurrence rates. Rarely performed.
Depends on the treatment algorithm used, but typically monthly follow-up until the CNV lesion is inactive with resolution of exudative signs based on examination and OCT. Patients receiving anti-VEGF therapy need indefinite follow-up, though the follow-up frequency depends on treatment response and treatment algorithm, for example, PRN versus TAE. Patients receiving intravitreal injections should be given warning symptoms for endophthalmitis and RD.
DugelPU, KohA, OguraY, et al; HAWK and HARRIER Study Investigators. HAWK and HARRIER: phase 3, multicenter, randomized, double-masked trials of brolucizumab for neovascular age-related macular degeneration. Ophthalmology. 2020;127(1):7284.
HeierJS, BrownDM, ChongV. Intravitreal aflibercept (VEGF trap-eye) in wet age-related macular degeneration. Ophthalmology. 2012;119:25372548.
KhananiAM, KotechaA, ChangA, et al; TENAYA and LUCERNE Investigators. TENAYA and LUCERNE: Two-year results from the phase 3 neovascular age-related macular degeneration trials of faricimab with treat-and-extend dosing in year 2. Ophthalmology. 2024:131(8):914926.
LanzettaP, KorobelnikJF, HeierJS, et al; PULSAR Investigators. Intravitreal aflibercept 8 mg in neovascular age-related macular degeneration (PULSAR): 48-week results from a randomised, double-masked, non-inferiority, phase 3 trial. Lancet. 2024:403(10432):11411152.
RosenfeldPJ, BrownDM, HeierJS, et al; MARINA Study Group. Ranibizumab for neovascular age-related macular degeneration. N Engl J Med. 2006;355:14191431.
The CATT Research Group. Ranibizumab and bevacizumab for neovascular age-related macular degeneration. N Engl J Med. 2011;364:18971908.