Typical optic neuritis associated with MS causes vision loss over hours to days, with the nadir approximately 1 week after onset. Visual loss may be subtle or profound. Usually unilateral, rarely bilateral. Age typically 18 to 45 years. Retro-orbital pain, especially with eye movement. Acquired loss of color vision. Reduced perception of light intensity. May have other focal neurologic symptoms (e.g., weakness, numbness, tingling in extremities). May have antecedent flu-like viral syndrome. Occasionally altered perception of moving objects (Pulfrich phenomenon) or a worsening of symptoms with exercise or increase in body temperature (Uhthoff sign).
More recently, immune-mediated disorders of the CNS, such as neuromyelitis optica spectrum disorder (NMOSD) and myelin oligodendrocyte glycoprotein antibody-associated disease (MOGAD), have been described as causes of atypical optic neuritis. Atypical features include advanced patient age, severe vision loss with poor recovery, and simultaneous or rapidly sequential bilateral optic neuritis.
Relative afferent pupillary defect in unilateral or asymmetric cases; decreased color vision; central, cecocentral, or arcuate visual field defects.
Swollen disc (in one-third of patients) usually without peripapillary hemorrhages (papillitis most commonly seen in children and young adults) or a normal disc (in two-thirds of patients; retrobulbar optic neuritis more common in adults). Posterior vitreous cells possible.
Ischemic optic neuropathy: Visual loss is sudden but in up to 35% of patients may progress over 4 weeks. Typically, no pain with ocular motility, though pain may be present in 10% of cases (compared to 92% of patients with optic neuritis). Optic nerve swelling due to nonarteritic ischemic optic neuropathy (NAION) is initially hyperemic and then becomes pale. Optic nerve swelling in GCA is diffuse and may be chalk white. Patients tend to be older (40 to 60 years old for NAION and ≥55 years old in arteritic ischemic optic neuropathy). See 10.17, Arteritic Ischemic Optic Neuropathy (Giant Cell Arteritis) and 10.18, Nonarteritic Ischemic Optic Neuropathy.
Acute papilledema: Bilateral disc edema, usually no decreased color vision, minimal to no decreased visual acuity, no pain with ocular motility, and no vitreous cells. See 10.15, Papilledema.
Severe systemic hypertension: Bilateral disc edema, increased blood pressure, flame-shaped retinal hemorrhages, and cottonwool spots. See 11.10, Hypertensive Retinopathy.
Orbital tumor compressing the optic nerve: Unilateral and usually associated with proptosis, resistance to retropulsion, and/or restriction of extraocular motility. See 7.4, Orbital Tumors.
Intracranial mass compressing the afferent visual pathway: Normal or pale disc, afferent pupillary defect, decreased color vision, and mass evident on CT scan or MRI of the brain.
Leber hereditary optic neuropathy: Usually occurs in males in the second or third decade of life. Patients may have a family history and present with rapid visual loss of one and then the other eye within days to months. Early examination of the disc may reveal peripapillary telangiectasias followed by optic atrophy.
Toxic or metabolic optic neuropathy: Progressive painless bilateral visual loss that may be secondary to alcohol, malnutrition, various toxins (e.g., ethambutol, chloroquine, isoniazid, chlorpropamide, heavy metals), anemia, and others.
MS: Frequently optic neuritis is the initial manifestation of MS.
NMOSD and MOGAD should be considered in all optic neuritis patients.
Childhood infections or vaccinations: Measles, mumps, chickenpox, and others.
Other viral infections: Mononucleosis, varicella zoster, encephalitis, and others.
Granulomatous inflammations/infections: Tuberculosis, syphilis, sarcoidosis, cryptococcus, and others.
History: Determine the patients age and rapidity of onset of the visual loss. Previous episode? Pain with eye movement? Intractable hiccups, nausea/vomiting, and severe itching are features strongly suggestive of NMOSD.
Complete ophthalmic and neurologic examinations, including pupillary and color vision assessment, evaluation for vitreous cells, and dilated retinal examination with attention to the optic nerve.
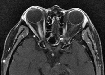
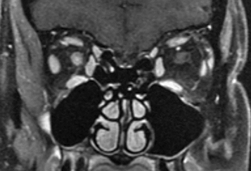
For all cases, MRI of the brain and orbits with gadolinium and fat suppression should be obtained (See Figures 10.14.1 and 10.14.2). While a short segment of optic nerve is involved in typical optic neuritis, lesions in NMOSD may be longitudinally extensive. In addition, patients with NMOSD should have MRI of the spine to look for signs of transverse myelitis. Antibodies for anti-aquaporin 4 (anti-AQP4) and anti-myelin oligodendrocyte glycoprotein (anti-MOG) should be drawn.
Consider the following: CBC, ESR, anti-AQP4 antibodies, anti-MOG antibodies, ACE level, Lyme antibody, FTA-ABS or treponemal-specific assay and RPR or VDRL tests, and chest x-ray or chest CT.
If patient seen acutely with no prior history of MS:
Offer pulsed i.v. steroid in the following regimen within 14 days of decreased vision:
If MRI shows two or more characteristic demyelinating lesions, treat with the aforementioned steroid regimen and refer to neurologist or neuro-ophthalmologist for further management. If MS is suspected, treatment may be initiated with disease-modifying therapies. These include agents that are given orally, by injection, or by infusion. The most commonly used medications include interferon-beta, glatiramer acetate, fingolimod, dimethyl fumarate, teriflunomide, alemtuzumab, natalizumab, ocrelizumab, and dalfampridine.
Patients with one or more typical signal changes on MRI have a 72% chance of developing CDMS over 15 years.
With a negative MRI, the risk of MS is low, 25% at 15 years. Thus, observation was an acceptable option in the past. However, in the current era of NMOSD, negative MRI should arouse suspicion for this condition. Pulsed i.v. steroid should be administered in all patients, and additional serologic studies for antibodies should be obtained.
In a patient with a diagnosis of prior MS or typical optic neuritis:
Anti-AQP4 positive NMOSD, anti-MOG positive MOGAD, or seronegative disease:
For acute optic neuritis, high-dose i.v. steroids are used first.
Plasmapheresis should be performed if response to steroids is poor.
Referral to a neurologist/neuroimmunologist for long-term immunosuppression with agents such as rituximab, azathioprine, or mycophenolate. Food and Drug Administration (FDA)-approved medications for the treatment of NMOSD include inebilizumab, satralizumab, and eculizumab.
Diagnosis of Prior MS or Typical Optic Neuritis
Reexamine the patient approximately 4 to 6 weeks after presentation and then every 3 to 6 months.
Clinically isolated syndromes without features of MS need repeat MRI brain every 6 months initially and then annually to monitor for development of MS lesions.
Patients at high risk for MS, including patients with CNS demyelination on MRI or a positive neurologic examination, should be referred to a neurologist or neuro-ophthalmologist for evaluation and management of possible MS.
NMOSD: Closer follow-up initially may be necessary due to frequency of relapses and severity of vision loss. Follow-up within 2 weeks of initial treatment with rapid referral to neurologist experienced in treating NMOSD.
BeckRW, ClearyPA, AndersonMMJr, et al.A randomized, controlled trial of corticosteroids in the treatment of acute optic neuritis. The Optic Neuritis Study Group. N Engl J Med. 1992;326:581588.
BeckRW, ClearyPA, TrobeJD, et al.The effect of corticosteroids for acute optic neuritis on the subsequent development of multiple sclerosis. The Optic Neuritis Study Group. N Engl J Med. 1993;329:17641769.
ChenJ, PittockS, FlanaganE, et al.Optic neuritis in the era of biomarkers. Surv Ophthalmol. 2020;65(1):1217.
JacobsLD, BeckRW, SimonJH, et al.Intramuscular interferon beta-1a therapy initiated during a first demyelinating event in multiple sclerosis. CHAMPS Study Group. N Engl J Med. 2000;343:898904.
Optic Neuritis Study Group. Multiple sclerosis risk after optic neuritis: final follow-up from the Optic Neuritis Treatment Trial. Arch Neurol. 2008;65:727732.