Red eye, moderate-to-severe ocular pain, photophobia, decreased vision, discharge, and acute contact lens intolerance.
(See Figure 4.12.1.)
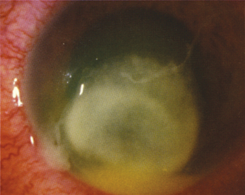
Focal white opacity (infiltrate) in the corneal stroma associated with an epithelial defect and underlying stromal thinning/tissue loss.
An examiner using a slit beam cannot see clearly through an infiltrate or ulcer to the iris, whereas stromal edema or mild anterior stromal scars are more transparent. |
Epithelial defect, mucopurulent discharge, stromal edema, folds in Descemet membrane, anterior chamber reaction, endothelial fibrin/cell deposition with or without hypopyon formation (which, in the absence of globe perforation, usually represents sterile inflammation), conjunctival injection, upper eyelid edema. Posterior synechiae, hyphema, and increased IOP may occur in severe cases.
Fungal: Must be considered after any traumatic corneal injury, particularly from vegetable matter (e.g., a tree branch), which may lead to filamentous fungal keratitis. Contact lens wear is another risk factor. Infiltrates commonly have feathery borders and/or may be surrounded by satellite lesions. Candida infections more frequently occur in eyes with preexisting ocular surface disease and may mimic the clinical picture of bacterial ulcers. See 4.13, Fungal Keratitis.
Acanthamoeba: This protozoan classically causes an extremely painful keratitis and/or stromal infiltrate; is associated with perineural invasion. It usually occurs in daily-wear soft contact lens wearers who may or may not practice poor lens hygiene. History of trauma or history of swimming and/or hot tubbing while wearing contact lenses may be elicited. In the early stages, the epithelial abnormality may look more like HSV keratitis than a bacterial ulcer. In the late stages (3 to 8 weeks), the infiltrate often becomes ring shaped. See 4.14, Acanthamoeba Keratitis.
HSV: May have eyelid vesicles or corneal epithelial dendrites. A history of recurrent unilateral eye disease or known ocular herpes is common. If a staining infiltrate develops in a patient with stromal herpetic keratitis, one needs to rule out bacterial superinfection. See 4.16, Herpes Simplex Virus.
Atypical mycobacteria: Usually follows ocular injuries with vegetable matter or ocular surgery, such as cataract extraction, corneal grafts, and refractive surgery (especially LASIK). It has a more indolent course. Culture plates (on LowensteinJensen media) must be kept for 8 weeks. An acid-fast bacillus smear may be very helpful.
Sterile corneal thinning and ulcers: Minimal or no discharge, mild iritis, peripheral stromal infiltration with overlying staining and adjacent vascularization, and negative cultures. Corneal melting may be associated with various systemic diseases. See 4.23, Peripheral Corneal Thinning/Ulceration.
Staphylococcal hypersensitivity: Peripheral corneal infiltrates, sometimes with an overlying epithelial defect; usually multiple, often bilateral, with a clear space between the infiltrate and the limbus. Conjunctival injection is localized rather than diffuse, and there is less pain. There is minimal-to-no anterior chamber reaction. Often with coexisting blepharitis/meibomitis. See 4.19, Staphylococcal Hypersensitivity.
Sterile corneal infiltrates: Typically from an immune reaction to contact lens solutions or hypoxia related to contact lens wear. Usually multiple small, often peripheral, subepithelial infiltrates with little overlying staining and minimal anterior chamber reaction. Usually a diagnosis of exclusion after ruling out an infectious process. Similar lesions can occur after adenoviral conjunctivitis, but these tend to be more central and less dense with a preceding history of conjunctivitis. See 5.1, Acute Conjunctivitis.
Residual corneal foreign body or rust ring: History of foreign body injury. May be accompanied by corneal stromal inflammation, edema, and sometimes, a sterile infiltrate. There may be a mild anterior chamber reaction. The infiltrate and inflammation are usually clear after the foreign body and rust ring are removed, but a superinfection may occur.
Topical anesthetic abuse: A type of neurotrophic ulcer that should be suspected when there is poor response to appropriate therapy. In the late stages of anesthetic abuse, the corneal appearance may mimic an infectious process such as Acanthamoeba or herpes simplex stromal keratitis. A large ring opacity, edema, and anterior chamber reaction are characteristic. Crack cocaine keratopathy has a similar appearance. Healing, with or without scarring, typically occurs after the exposure to anesthetic is stopped.
Bacterial organisms are the most common cause of infectious keratitis. In general, corneal infections are assumed to be bacterial until proven otherwise by laboratory studies or until a therapeutic trial of topical antibiotics is unsuccessful. The most frequent risk factors for bacterial keratitis include contact lens wear and ocular trauma. At Wills Eye, the most common causes of bacterial keratitis are Staphylococcus, Pseudomonas, Streptococcus, Moraxella, and Serratia species. Clinical findings vary widely depending on the severity of disease and on the organism involved. The following clinical characteristics may be helpful in predicting the organism involved. However, clinical impression should never take the place of broad-spectrum initial treatment and appropriate laboratory evaluation. See Appendix 8, Corneal Culture Procedure.
Staphylococcal ulcers typically have a well-defined, gray-white stromal infiltrate that may enlarge to form a dense stromal abscess.
Streptococcal infiltrates may be either very purulent or crystalline (see 4.15, Crystalline Keratopathy). Acute fulminant onset with severe anterior chamber reaction and hypopyon formation are common in the former, while the latter tends to have a more indolent course and occurs in patients often on chronic topical steroids (e.g., corneal transplant patients).
Pseudomonas typically presents as a rapidly progressive, suppurative, necrotic infiltrate associated with a hypopyon and mucopurulent discharge, commonly seen in the setting of soft contact lens wear (see Figure 4.12.2).
Moraxella may cause infectious keratitis in patients with preexisting ocular surface disease and in patients who are immunocompromised. Infiltrates are typically indolent, located in the inferior portion of the cornea, tend to be full thickness, and may rarely perforate.
History: Contact lens wear and care regimen should always be discussed. Sleeping in contact lenses? Daily or extended-wear lenses? Conventional, frequent replacement, or single use? Disinfecting solutions used? Recent changes in routine? Water exposure (swimming or hot tub use) with lenses? Trauma or corneal foreign body? Corneal surgery including refractive surgery? Eye care before visit (e.g., antimicrobials or topical steroids)? Previous corneal disease? Systemic illness?
Slit-lamp examination: Stain with fluorescein to determine if there is epithelial loss overlying the infiltrate; document the size, depth, and location of the corneal infiltrate and epithelial defect. Assess for anterior chamber reaction and document the presence and size of a hypopyon. Measure the IOP, preferably with a handheld tonometer (e.g., Tono-Pen or iCare).
Corneal scrapings for smears and cultures if appropriate and if culture media are available. We routinely culture infiltrates if they are larger than 1 to 2 mm, in the visual axis, unresponsive to initial treatment, or if there is suspicion for an unusual organism based on history or examination. See Appendix 8, Corneal Culture Procedure. See Video: Corneal Culture Procedure.
DNA PCR (polymerase chain reaction) can be obtained in addition to, or as an alternative to, corneal scrapings with smear and culture. PCR can identify an extended range of pathogens including bacterial, fungal, amoebic and viral etiologies of keratitis, and may be particularly useful in culture-negative cases of infectious keratitis. However, PCR does not provide antimicrobial sensitivities.
In contact lens wearers suspected of having an infectious ulcer, the contact lenses and case can be cultured, if available. Explain to the patient that the cultured contact lenses will be discarded. A positive culture from a contact lens or contact lens case should be interpreted with clinical judgment. While a contaminant can be misleading, a result that supports the examination findings can be helpful.
Ulcers and infiltrates are initially treated as bacterial unless there is a high index of suspicion of another form of infection. Initial therapy should be broad spectrum. Remember that bacterial coinfection may occasionally complicate fungal and acanthamoeba keratitis. Mixed bacterial infections can also occur.
Cycloplegic drop for comfort and to prevent synechiae formation (e.g., cyclopentolate 1% t.i.d.; atropine 1% b.i.d. to t.i.d. is recommended if a hypopyon is present). The specific medication depends on severity of anterior chamber inflammation.
Small, nonstaining peripheral infiltrate with at most minimal anterior chamber reaction and no discharge:
Noncontact lens wearer: Broad-spectrum topical antibiotics (e.g., fluoroquinolone [moxifloxacin, gatifloxacin, besifloxacin, levofloxacin] or polymyxin B/trimethoprim drops q12h while awake).
Contact lens wearer: Fluoroquinolone (e.g., moxifloxacin, gatifloxacin, ciprofloxacin, besifloxacin, levofloxacin) drops q12h while awake ± polymyxin B/trimethoprim drops q12h while awake; can add tobramycin or ciprofloxacin ointment one to four times a day.
Borderline Risk of Visual Loss
Medium size (1 to 1.5 mm diameter) peripheral infiltrate, or any smaller infiltrate with an associated epithelial defect, mild anterior chamber reaction, or moderate discharge:
Fluoroquinolone (e.g., moxifloxacin, gatifloxacin, ciprofloxacin, besifloxacin, levofloxacin) q1h around the clock ± polymyxin B/trimethoprim q1h around the clock. Consider starting with a loading dose of q5min for five doses and then q30min until midnight then q1h.
Moxifloxacin and besifloxacin have slightly better gram-positive coverage. Gatifloxacin and ciprofloxacin have slightly better Pseudomonas and Serratia coverage. |
Our current practice at Wills Eye is to start fortified antibiotics for most ulcers larger than 1.5 to 2 mm, in the visual axis, or unresponsive to initial treatment. See Appendix 9, Fortified Topical Antibiotics/Antifungals, for directions on making fortified antibiotics. If fortified antibiotics are not immediately available, start with a fluoroquinolone and polymyxin B/trimethoprim until fortified antibiotics can be obtained from a formulating pharmacy.
Fortified tobramycin or gentamicin (15 mg/mL) q1h, alternating with fortified cefazolin (50 mg/mL) or vancomycin (25 mg/mL) q1h. This means that the patient will be placing a drop in the eye every one-half hour around the clock. Vancomycin drops should be reserved for resistant organisms, patients at risk for resistant organisms (e.g., due to hospital or antibiotic exposure, unresponsive to initial treatment), and for patients who are allergic to penicillin or cephalosporins. An increasing number of methicillin-resistant Staphylococcus aureus (MRSA) infections are now community acquired. If the ulcer is severe and Pseudomonas is suspected, consider starting fortified tobramycin every 30 minutes and fortified cefazolin q1h around the clock; in addition, consider adding fortified ceftazidime q1h or a fluoroquinolone q1h around the clock.
In some cases, topical steroids are added after the bacterial organism and sensitivities are known, the infection is under control, and severe inflammation persists. Infectious keratitis may worsen significantly with topical steroids, especially when caused by fungus, atypical mycobacteria, Nocardia or Pseudomonas.
Eyes with corneal thinning should be protected by a shield without a pressure patch (a patch is never placed over an eye thought to have an infection). The use of a matrix metalloproteinase inhibitor (e.g., doxycycline 100 mg p.o. b.i.d.) and a collagen synthesis promoter such as systemic ascorbic acid (e.g., vitamin C 1 to 2 g daily) may help to suppress connective tissue breakdown and prevent the perforation of the cornea. Adjunctive collagen cross-linking may also be considered.
Oral fluoroquinolones (e.g., ciprofloxacin 500 mg p.o. b.i.d.; moxifloxacin 400 mg p.o. daily) penetrate the eye well. These may have added benefit for patients with scleral extension or for those with frank or impending perforation. Ciprofloxacin is preferred for Pseudomonas and Serratia.
Systemic antibiotics are also necessary for Neisseria infections (e.g., ceftriaxone 1 g intravenously [i.v.] q1224h if corneal involvement, or a single 1 g intramuscular [i.m.] dose if there is only conjunctival involvement) and for Haemophilus infections (e.g., oral amoxicillin/clavulanate [20 to 40 mg/kg/day in three divided doses]) because of occasional extraocular involvement such as otitis media, pneumonia, and meningitis.
Admission to the hospital may be necessary if:
Infection is sight threatening and/or impending perforation.
Patient has difficulty administering the antibiotics at the prescribed frequency.
High likelihood of noncompliance with drops or daily follow-up.
Intravenous antibiotics are needed (e.g., gonococcal conjunctivitis with corneal involvement). Often employed in the presence of corneal perforation and/or scleral extension of infection.
For atypical mycobacteria, consider prolonged treatment (q1h for 1 week, then gradually tapering) with one or more of the following topical agents: fluoroquinolone (e.g., moxifloxacin or gatifloxacin), fortified amikacin (15 mg/mL), clarithromycin (1% to 4%), or fortified tobramycin (15 mg/mL). Consider oral treatment with clarithromycin 500 mg b.i.d. Previous LASIK has been implicated as a risk factor for atypical mycobacteria infections.
Daily evaluation at first, including repeat measurements of the size of the infiltrate, epithelial defect and hypopyon. The most important criteria in evaluating treatment response are the amount of pain, the epithelial defect size (which may initially increase because of scraping for cultures and smears), the size and depth of the infiltrate, and the anterior chamber reaction. The IOP must be checked and treated if elevated (see 9.7, Uveitic Glaucoma). Reduced pain is often the first sign of a positive response to treatment.
If improving, the antibiotic regimen is gradually tapered but is never tapered past the minimum dose to inhibit the emergence of resistance (usually t.i.d. to q.i.d. depending on the agent). Otherwise, the antibiotic regimen is adjusted according to the culture and sensitivity results.
Topical steroids (e.g., loteprednol 0.5% or prednisolone acetate 1% two to four times a day) can be considered in eyes where a bacterial organism has been identified, the infection is responding to the antibiotic treatment and there is significant inflammation where the benefit of steroids are believed to outweigh the risks, which include worsening infection, impaired healing, and elevated IOP.
Consider new or repeat cultures and stains (without stopping treatment) in the setting of nonresponsive or worsening infiltrate/ulcer. Treat with fortified antibiotics and modify based on culture results and the clinical course. Hospitalization may be recommended. See Appendix 8, Corneal Culture Procedure.
A corneal biopsy may be required if the condition is worsening and infection is still suspected despite negative cultures.
For an impending or a complete corneal perforation, a corneal transplant or patch graft is considered. Cyanoacrylate tissue glue may also work in a treated corneal ulcer that has perforated despite infection control. Frequent antibiotics are continued after application of glue to treat the infection.